セラミック治療とは?治療法とメリット・デメリット

2025年10月18日(土)

歯のコラム

こんにちは。額田郡幸田町の歯医者「やまもと歯科醫院」です。

セラミック治療できれいになった歯を指さし笑顔の女性

歯の美しさや健康を保つために、さまざまな治療方法が存在しますが、そのなかでも注目されているのがセラミック治療です。銀歯やレジンと比べて、より自然で美しい見た目を実現できることから、近年は多くの患者さんに選ばれています。

しかし、セラミック治療にはメリットだけでなくデメリットも存在するため、事前によく理解しておくことが大切です。

今回は、セラミック治療とはどのような治療法か、またどのようなメリット・デメリットがあるのか詳しく解説します。セラミック治療を検討されている方は、ぜひ参考にしてください。

セラミック治療とは

セラミックの歯

セラミック治療とは、虫歯や破損した歯の修復、あるいは歯の見た目を改善するために、セラミック素材の詰め物・被せ物を用いて行う歯科治療のことです。見た目が天然の歯に非常に近いため、特に審美性を重視したい方に人気があります。

また、汚れが付きにくく、変色もしにくいため、長期的に清潔で美しい口元を保ちやすいです。さらに、金属アレルギーの心配がないため、健康志向の高い方や体質に不安のある方からも注目されています。

このように、見た目の美しさだけでなく、機能性や安全性の面でも優れていることから、セラミック治療は現代の歯科医療において非常に魅力的な選択肢となっています。

セラミック治療の種類

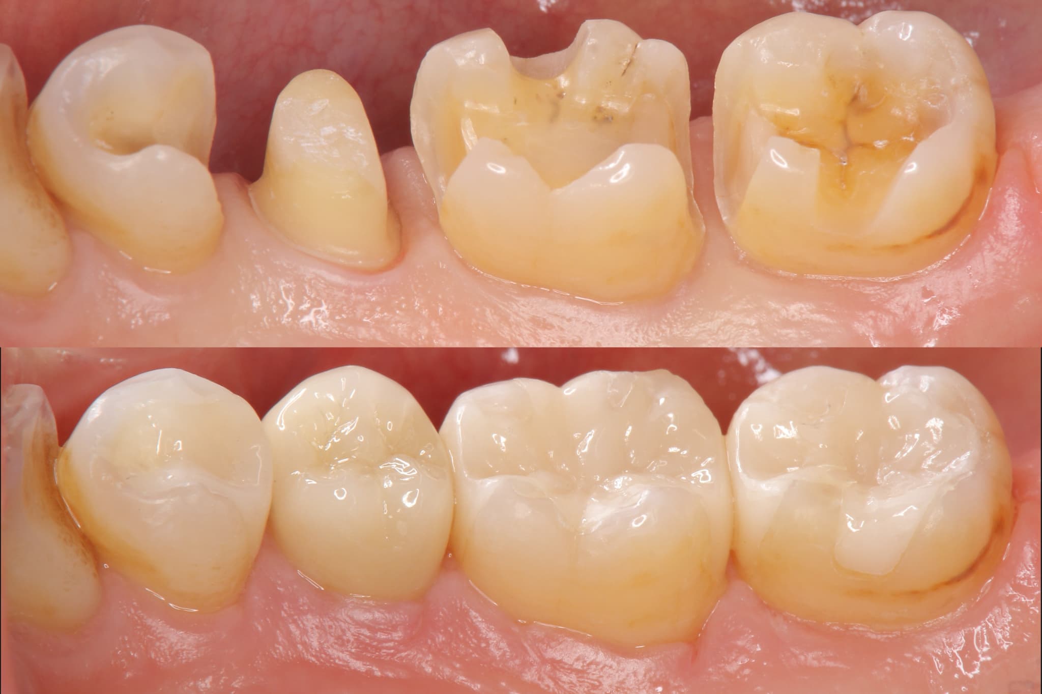
セラミック治療のビフォーアフター

セラミック治療には目的や状態に応じたいくつかの種類があります。それぞれの治療法を詳しく見ていきましょう。

セラミックインレー

セラミックインレーは、虫歯治療などで削った部分に装着する、セラミック製の詰め物です。主に奥歯の小さな欠損に対して使用され、銀歯と比べて自然な白さと質感を持っているため、治療跡が目立ちにくいという特徴があります。

インレーは歯科技工士によって精密に作られるため、適合性が高く、噛み合わせのバランスにも優れています。また、セラミック素材は表面が滑らかで汚れがつきにくいため、二次虫歯のリスクを軽減できる点も大きな利点です。

見た目の美しさだけでなく、機能面や衛生面でも優れているセラミックインレーは、保険適用外ではあるものの、長期的な口腔内の健康を考える方に選ばれています。

セラミッククラウン

セラミッククラウンは、虫歯や破損によって大きく欠けた歯や、神経を除去した歯などを全体的に覆う被せ物です。歯の全体にセラミック製のクラウンを装着することで、見た目と機能を同時に回復することができます。

特に前歯など審美性が重要な部位に使用され、透明感があるため本物の歯と見分けがつかないほど自然な仕上がりになります。

また、金属を使用しないオールセラミッククラウンや、強度が高いジルコニアクラウンなど、素材の選択肢も豊富にあります。美しさと強度のバランスを考慮して選ぶことが可能です。

ラミネートベニア

ラミネートベニアは、前歯の表面を薄く削り、そこに薄いセラミック製のシェルを貼り付ける治療法です。ホワイトニングでは改善できない変色や、すきっ歯、軽度の歯並びの不正など、審美的な問題を解決する目的で行われます。

歯を大きく削る必要がないため、身体への負担が少なく、短期間で美しい仕上がりが得られるのが特徴です。

ただし、薄いセラミックを使用するため、強い衝撃が加わると割れるリスクがある点には注意が必要です。

セラミック治療のメリット

セラミック治療のメリットのイメージ

セラミック治療には多くの利点があります。ここでは主な4つのメリットについて詳しく説明します。

自然な見た目を再現できる

セラミック素材は、光の透過性が天然歯に近いため、非常に自然な見た目を再現できます。これにより、前歯など目立つ部分の治療においても、周囲の歯と馴染みやすく、違和感のない仕上がりになります。

特にオールセラミックは金属を一切使用しないため、金属の影響による歯茎の黒ずみや変色が起こりません。審美性を重視する方にとって、大きな安心材料となります。このことから、自然な白さと美しさを求める方にセラミック治療が選ばれているのです。

耐久性に優れている

セラミックは非常に硬く、摩耗に強い素材です。日常的な咀嚼や噛みしめにも耐えられる強度を持っています。適切にケアを行えば、10年以上持つことも珍しくありません。

また、セラミックは金属に比べて経年劣化が少なく、変形もしにくいため、長期間にわたり高い機能性を維持できます。虫歯も再発しにくいため、長期的な視点から見ても信頼性の高い素材といえるでしょう。

金属アレルギーのリスクがない

オールセラミックやジルコニアなどのセラミック素材は金属を一切含まないため、金属アレルギーを持つ方でも安心して使用できます。

保険診療で使用される金属の詰め物や被せ物は、長年口腔内にあることで金属イオンが溶け出し、体内に吸収されることがあります。これにより皮膚のかゆみや湿疹、原因不明の不調を引き起こすこともありますが、セラミックであればそういった心配がありません。

体にやさしく、健康的な治療を望む方にとって、大きなメリットといえるでしょう。

虫歯や歯周病のリスクが低い

セラミックは表面が滑らかで、プラークや汚れが付きにくいという特徴があります。そのため、保険診療のレジンや金属と比べても、細菌の付着が少なく、虫歯や歯周病のリスクを抑えることができます。

適切なブラッシングと定期的なメンテナンスを行えば、長く健康な状態を維持することが可能です。

セラミック治療のデメリット

セラミック治療のデメリットのイメージ

メリットが多い一方で、セラミック治療にはいくつかのデメリットも存在します。ここでは、代表的なデメリットについて解説します。

費用が高い

セラミック治療は保険が適用されない自由診療となるため、費用が高額になる点がデメリットです。使用する素材や技術によっても価格は異なりますが、1本あたり数万円から十数万円かかることが一般的です。

特に複数本にわたる治療や、オールセラミック・ジルコニアなどの高品質な素材を選んだ場合は、さらに高額になることもあります。そのため、治療を検討する際には、費用や支払い方法について歯科医院でしっかり確認することが重要です。

割れることがある

セラミックは硬い素材ではありますが、強い衝撃が加わると割れたり欠けたりする可能性があります。特に歯ぎしりや食いしばりの癖がある方は、破損する可能性があるため注意しなければなりません。

そのため、歯ぎしりや食いしばりの癖がある場合には、ナイトガードと呼ばれる専用のマウスピースの使用が推奨されます。就寝時にナイトガードを使用することで、歯ぎしりや食いしばりによってセラミック歯に加わる力を分散させることができます。

また、定期的に歯科医院を受診して、噛み合わせを確認してもらうことも重要です。万が一、破損した場合には再治療が必要となり、費用や時間が再びかかる点にも注意が必要です。

歯を削る必要がある

セラミック治療を行う際には、セラミックの詰め物や被せ物を正確に装着するために、歯を削る必要があります。特にクラウンやラミネートベニアなど、広範囲をカバーする補綴物では、ある程度の歯質を削る処置が避けられません。

この処置は見た目やフィット感を高めるために重要ですが、一度削った歯は元に戻すことができず、将来的に再治療が必要になる場合もあります。そのため、歯の保存を重視したい方にとっては、慎重に検討すべきポイントといえるでしょう。

まとめ

ダイニングで楽しそうに食事する夫婦

セラミック治療は、見た目の美しさと機能性を両立できる、現代の歯科医療において注目される選択肢です。天然歯に近い自然な見た目を再現できるだけでなく、金属アレルギーの心配がないという特長から、審美性と健康を同時に追求したい方に選ばれています。

一方で、保険適用外であることから費用が高い点や、歯を削る必要がある点など、治療を受けるうえで理解しておくべきデメリットも存在します。こうしたメリットとデメリットの両面を把握したうえで、ご自身に合った治療法かどうかを判断することが重要です。

セラミック治療を検討している方は、まず信頼できる歯科医院でカウンセリングを受けましょう。

セラミック治療を検討されている方は、額田郡幸田町の歯医者「やまもと歯科醫院」にお気軽にご相談ください。

当院は、補綴歯科専門医として患者様の口腔の健康と快適な生活を支える治療を提供することに全力を尽くしています。診療案内ページはこちらWEB予約も受け付けておりますので、ぜひご覧ください。